Melanoma, Metabolism, and Hair 3
Melanoma, Metabolism, and Hair 3
Submitted by Katie Mattaini of the Vander Heiden Laboratory at the Koch Institute for Integrative Cancer Research at MIT
MIT Department of Biology, Koch Institute at MIT
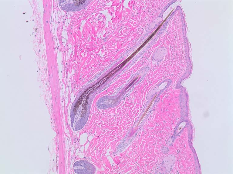
Human & mouse hair follicles go through cycles of growth, death/shrinkage and rest over the lifetime of an individual.This image shows hair follicles from mice with dark coats in the most mature active phase of growing a single hair. The surface of the skin is on the right, and the deepest part of the hair follicle is on the left. Cells at the innermost part of the hair root become increasingly hard, or keratinized, and eventually form the hair shaft. The dark black/brown pigmentation of each hair is provided by melanin, a molecule that is produced by specialized cells called melanocytes, then passed to the cells that will eventually form the hair shaft. In this image specifically, you can see the hair starting to protrude at the surface of the skin.
In our lab, we study tumor metabolism. We have made a genetically modified mouse that will overexpress phosphoglycerate dehydrogenase (PHGDH), the first enzyme in the biosynthesis of the amino acid serine, in response to doxycycline in the diet. PHGDH is known to be amplified and/or overexpressed in various types of human cancer, and most frequently in melanoma, which arises from melanocytes.
