My Geode Must Be Acknowledged
My Geode Must Be Acknowledged
Miram Meziane, Mackenzie Litz, Pulin Li
MIT Department of Biology, Whitehead Institute
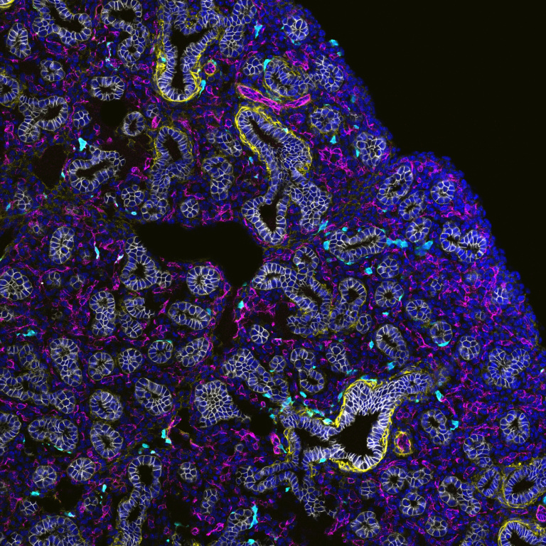
How do you build an organ? During development, cells need to make decisions on what cell type to become, and how they should be organized to ensure proper functioning of the organ. For example, blood vessels in the lung need to be organized in the right manner to ensure gas exchange. We are interested in understanding how this is achieved during the embryonic development of the lung. These images show different stages of lung development, what state the cells building the blood vessels are in (mature or immature), and how they are organized within the tissue.
Here we see antibody staining of a lineage tracing experiment to look at the fate of progenitor cells labelled prior to organ development. Progeny of labeled progenitor cells can be seen by expression of a reporter (shown in cyan). Clonal relationships and cell fate decisions can be inferred by looking for expression of cell type markers such as PECAM for endothelial cells and ACTA2 for smooth muscle.
