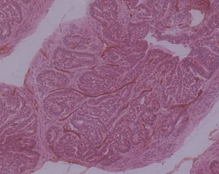
Increased Blood Flow in Cancerous Prostate Tissue
Increased Blood Flow in Cancerous Prostate Tissue
Submitted by Mike Barnkob and Pete Bak of the Chen Lab at the Koch Institute
MIT Department of Biology, Koch Institute at MIT
Mike Barnkob and Pete Bak
Chen Lab, Koch Institute
Light Micrograph
"This picture shows an enlarged, cancerous prostate gland in mouse, with an increase in blood vessels (stained in brown here). We are interested in the microenvironment that follows progressing tumors and how that changes as treat the tumors with cancer specific T cells. The stromal microenvironment plays important roles in the development of treatment resistant tumors. Visualizations like these help us define the stromal elements and their contribution to treatment resistance."
