Sarcomeres or Sycamores? 2
Sarcomeres or Sycamores? 2
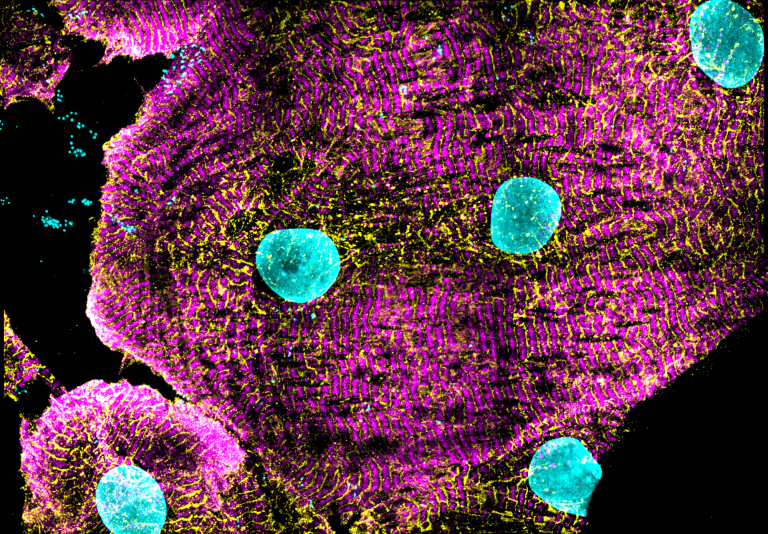
John Day, Laurie Boyer Lab, BE
MIT Department of Biological Engineering
The contractile machinery of heart cells is visualized by the repeating pattern of magenta and yellow bands, representing key pieces of the structure. Cell nuclei in blue are enveloped by these structures to varying degrees. The different degrees to which the nuclei appear to be enveloped by the sarcomeres (contractile structures visualized by the repeating bands of magenta and yellow) suggest that there could be great cell-to-cell variability in mechanical manipulation of gene regulation.
