Blood Brain Barrier on a Chip 3
Blood Brain Barrier on a Chip 3
Rebecca Pinals, Alice Stanton, Adele Bubnys, Dong Shin Park, Nhat Truong, Emre Agbas, Allen Jiang, Rami Bikdash, Claudia Lozano, Robert Langer, Li-Huei Tsai
Koch Institute at MIT, Picower Institute for Learning and Memory
Neurodegenerative diseases remain largely incurable or untreatable, with numerous promising drug candidates failing to show efficacy in clinical trials. Although 2D cellular and animal models have conventionally served as the basis for preclinical research, the brain is inherently a complex 3D tissue and many neurodegenerative diseases are uniquely human. An impactful new paradigm of brain models uses accessible patient skin cells reprogrammed back into pluripotent stem cells and then differentiated into various brain cell types, providing high-fidelity tissue models that more accurately recapitulate human pathologies.
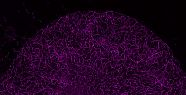
My images demonstrate a human stem-cell derived blood-brain barrier (BBB) model that will be critical for us to study this biological barrier in the context of fundamental neuroscience, diseases such as Alzheimer’s, and drug discovery and testing of treatment strategies that cross and function within the brain itself. [This particular image] shows a human induced pluripotent stem cell (iPSC)-derived BBB that has self-assembled into 3D vascularized networks within our custom-fabricated microfluidic chips within an engineered hydrogel that can support longer-term cell culture.
