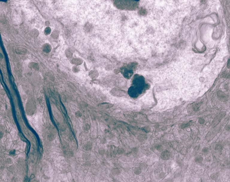
Hunting for Structural Abnormalities 4
Hunting for Structural Abnormalities 4
Christopher Ng, David Mankus, Peggy Bisher, Abigail Lytton-Jean, David Housman
Koch Institute at MIT, MIT Department of Biology
While much is known about processes linked to neurodegeneration in Huntington’s disease, few insights exist for how pathological phenotypes impact organelle structure and function in neural tissue. The Housman Lab uses electron microscopy driven by the expertise and cutting-edge resources of the Nanotechnology Core Facility to visualize and quantify ultrastructural signatures of disease in HD model systems such as the mouse model shown in this image. We aim to learn which organelle structures are the most disrupted in HD. With these signatures, we hope to evaluate if the treatments we are currently developing using human genetics can reverse structural abnormalities present in the HD brain. Colors are added for an artistic effect.
