Dispersion of Amphphilic Gold Nanoparticles 4
Dispersion of Amphphilic Gold Nanoparticles 4
Y-S. Sabrina Yang, Nicki Watson, Darrell Irvine
MIT Department of Biological Engineering, MIT Department of Materials Science and Engineering, Koch Institute at MIT
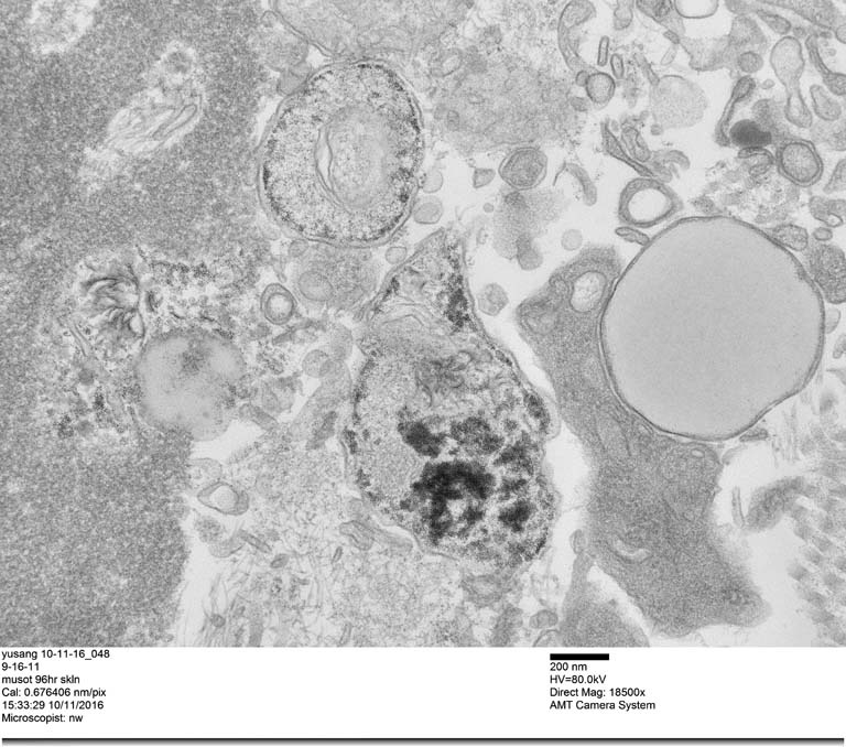
We are designing a nanomaterial-based drug delivery platform to target drugs/vaccines to lymph nodes for enhanced treatment efficacy and reduced side effects. These images showed that small gold nanoparticles (drug delivery vehicles) were found near collagen fibers in the dermis, but not near blood vessels, where most small molecule drugs were able to traverse.
