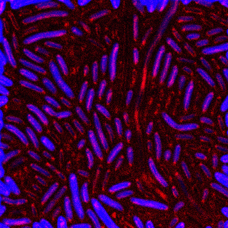
Gold Nanoparticles Penetrate Membrane, Image #2
Gold Nanoparticles Penetrate Membrane, Image #2
Submitted by Prabhani Atukorale at the Koch Institute
MIT Department of Biological Engineering, MIT Department of Materials Science and Engineering, Koch Institute at MIT
Prabhani Atukorale
Irvine Laboratory, Koch Institute
Confocal Microscopy
This image shows fluorescent E. coli bacteria with membrane penetrating gold nanoparticles
