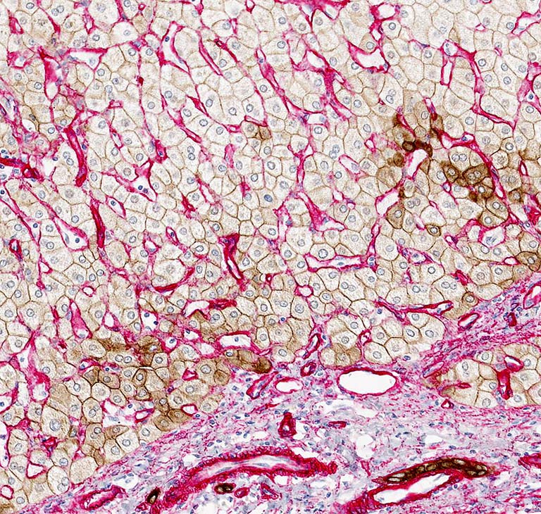
Antibody Staining in the Basement Membrane
Antibody Staining in the Basement Membrane
Steffen Rickelt
MIT Department of Biology, Koch Institute at MIT
This image shows a section through a human liver biopsy demonstrating hepatocytes (light brown) and bile duct cells (dark brown) as well as collagen IV (red), a type of collagen primarily found in the basement membrane, a thin, fibrous membrane that separates epithelial and endothelial cells from the surrounding connective tissue.
