Cell Function in the Hippocampus
Cell Function in the Hippocampus
Submitted by Carmen Varela of the Wilson Laboratory in the Picower Institute for Learning and Memory
Picower Institute for Learning and Memory, MIT Department of Brain and Cognitive Sciences
Carmen Varela
Wilson Laboratory, Picower Institute
Light microscopy
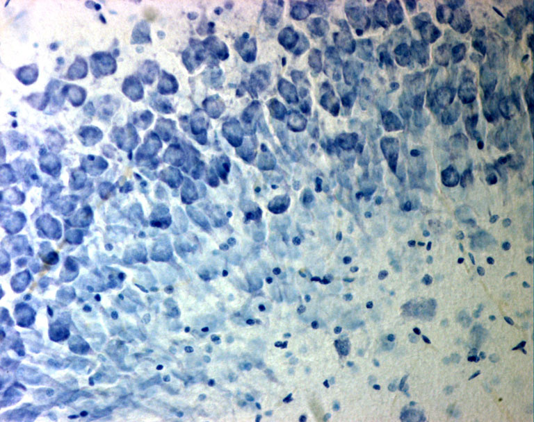
"In this picture you can see a group of brain cells that form part of a brain region responsible for the acquisition and storage of memories: the hippocampus. Cells like the ones that you are seeing here encode information about the space we move in, they let us know where we are, where we have been… Without them, we can no longer form memories about the events in our life. Each of the blue ‘blobs’ is one cell, stained with a dye that reveals the otherwise transparent brain tissue.
In our lab we use electrodes to register the activity of brain cells while animals perform memory tasks. Once we finish with the behavioral experiments, we take pictures like this one to find out if the electrodes were in the correct brain location."
