Using Chondronoids to Model Precocious Osteoarthritis 4
Using Chondronoids to Model Precocious Osteoarthritis 4
Kathryn Yammine, Sophia Mirda-Abularach, Matthew Shoulders, Andrea Yammine, Margaret Bisher, David Mankus, Abigail Lytton-Jean
MIT Department of Chemistry
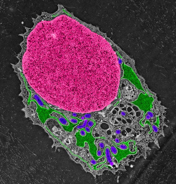
This is an image of a cell that produces cartilage, specifically diseased cartilage. It was grown in the lab to understand what goes wrong in the joints of people with precocious osteoarthritis. These patients present with the same symptoms as people with the aging form of the disease, but symptoms arise as early as in teenage years, making the disease very debilitating.
We are trying to understand what goes wrong in the cell in disease variants of precocious osteoarthritis (due to mutations in the gene encoding collagen-II). We are comparing these cells to a wild-type, healthy control. We were excited to see dilated endoplasmic reticula (highlighted in the color scheme) as a sign of pathology.
The long-term goal of this research is to discover new therapeutic strategies for genetic skeletal diseases. We are using “chondronoids” that produce cartilage to screen small molecules in the hopes of finding a potential treatment for this class of diseases.
