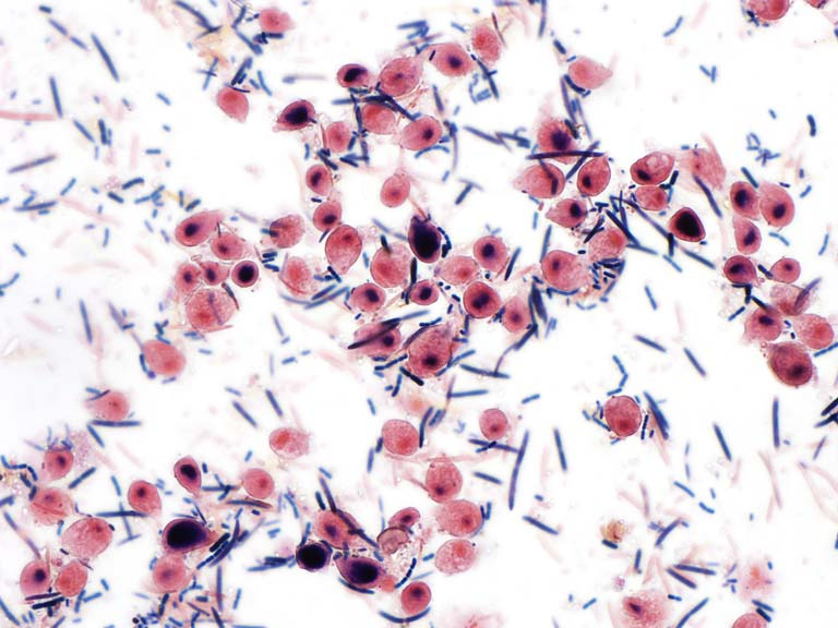
Gram Stain of the Intestinal Microbiome
Gram Stain of the Intestinal Microbiome
George Eng, Omer Yilmaz
Koch Institute at MIT, MIT Department of Biology
As a microbiologist and as part of the ongoing efforts of the Yilmaz lab to study the microbiome, this is a Gram stain or dye put onto the microbiological contents of the mouse intestine. We were and are trying to understand the types of organisms that live inside all of us, but in particular we were trying to identify the bacteria that shape the function of our gut.
We study diet and stem cells in the intestine, and recently the microbiome has become a larger presence in the scientific community. It is exciting to visually see all of the myriad organisms that live within our gut and image what role they may be having on our overall health.
