Lung Tumors Respond to PRMT5 Inhibition 1
Lung Tumors Respond to PRMT5 Inhibition 1
Helen Mueller
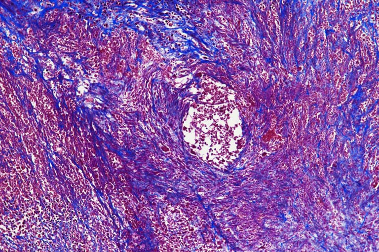
These are images of sections of tumors that have been stained to try and understand what is happening inside the tumor. Using this stain we can tell apart live cells from dead cells and we can see whether the tumor cells have started building up extracellular matrix. In these images you can see how complex the inside of these tumors are--there are pink dense live cells, less dense and more purple dead cells, and there are swaths of blue stained extracellular matrix (specifically collagen). In some of the images the extracellular matrix delineates a border between zones that have dead cells or live cells, whereas in other images, the extracellular matrix completely intertwines with either zone.
