Microneedles Deliver Light-Activatable Drugs 3
Microneedles Deliver Light-Activatable Drugs 3
Piyush K. Jain, Jonathan Chou, Steven Castleberry, Yanpu He, Anasuya Mandal, KI histology core, Simon H. Friedman (UMKC), Paula Hammond, Sangeeta N. Bhatia
Koch Institute at MIT, MIT Department of Chemical Engineering, Institute of Medical Engineering and Science
How can we deliver large molecular drugs like siRNA through the skin? What barriers does our skin present for these drugs? What if we can control when are where drugs are active just by shining light? Would that make drugs more specific and reduce side effects?
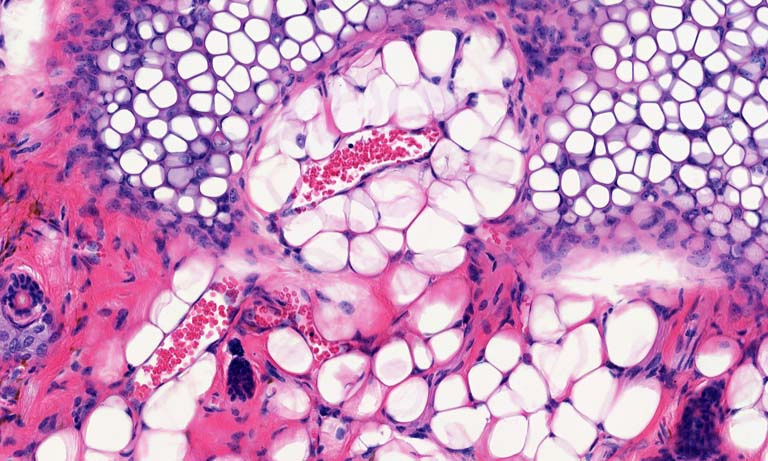
As a model, we present a sagittal cross-section image of a mouse ear that has been treated with a microneedle patch carrying an mRNA disrupting agent known as siRNA. The beautifully patterned circles like pebbles on a path are the cartilage cells in mice ears flaps while the long striated cells on the right are muscle cells. The hair follicles on the left are grouped as blue clusters with melanocytes (brown cells) while you can spot disc shaped red blood cells near big white fat cells. Hammond and Bhatia labs have joined forces to deliver these light-activatable drugs through the skin using an array of microneedles that can be further activated with light for the treatment of wound healing and cancer.
