Lymphocytes Infiltrate Melanoma Cells 1
Lymphocytes Infiltrate Melanoma Cells 1
Kelly Moynihan
MIT Department of Biological Engineering, MIT Department of Materials Science and Engineering, Koch Institute at MIT
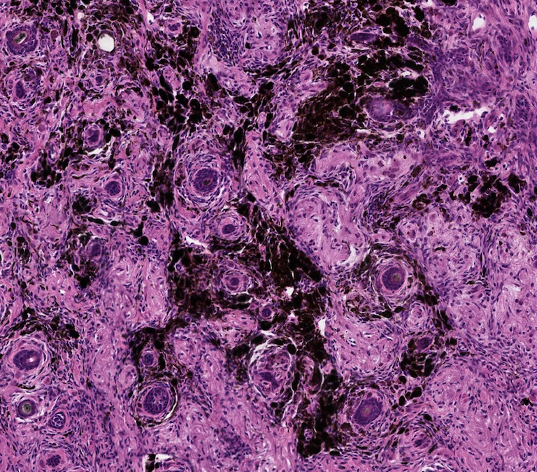
These H&E images depict melanomas undergoing immunotherapy treatment. The images show high infiltration of lymphocytes, the immune system’s effector cells against tumors, in a mouse melanoma model that is considered very challenging. In this images, swarms of lymphocytes can be identified by their small, dense nuclei, and pockets of brown melanin produced by the tumor can be seen throughout.
