Cancer Deconstructed, Image #5
Cancer Deconstructed, Image #5
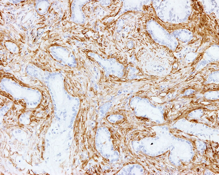
This image, captured by Vasilena Gocheva, illustrates the communications that pass between cancer cells and the "healthy" cells that assist in tumor progression.
MIT Department of Biology, Koch Institute at MIT
Vasilena Gocheva
Jacks Laboratory
Koch Institute at MIT
Our understanding of the role of the tumor microenvironment in the development and progression of lung cancer, the most common type of cancer worldwide, remains rudimentary. The goal of my project is to determine whether the stroma contributes to tumor progression as insights into the complex, reciprocal interactions between tumor and stromal cells in their local surroundings may provide new opportunities for more focused therapeutic strategies. This is a lung tumor that shows a large infiltration of fibroblasts (in brown). Fibroblasts are normal, non-cancer cells that are actively recruited to the tumors, but what role do they play in tumor progression?
