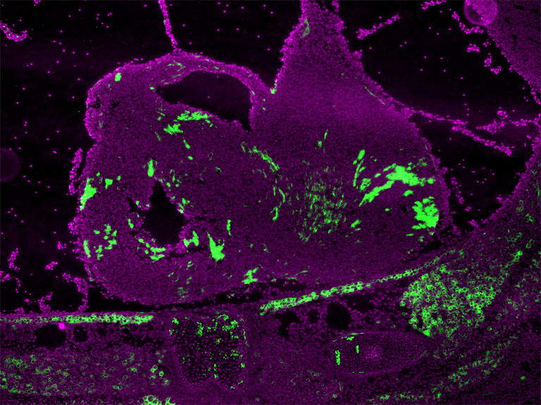
Cell Differentiation in A Chimeric Heart
Cell Differentiation in A Chimeric Heart
Submitted by Eric Williams of the Glenn Laboratory for the Science of Aging at MIT
MIT Department of Biology, Koch Institute at MIT
You are looking at the developing whiskers of an embryonic mouse, imaged using a fluorescent microscope. This is a chimeric mouse which means that the DNA between different cell types is not identical (unlike most other organisms).
I am trying to determine if Sirt1 is involved in pluripotency or differentiation. The cells with red fluorescent protein are wild type and the cells with green fluorescent protein do not contain the Sirt1 gene. The idea was to see if cells lacking Sirt1 would develop into all the tissue types. The red cells are my control. In this picture you can see that some tissue has more green cells and some have more red cells. This indicates that Sirt1 activity plays a role in determining these cell types.
