Stress, Starvation, and Survival: A Double Membrane View
Stress, Starvation, and Survival: A Double Membrane View
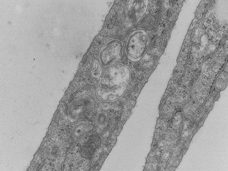
Submitted by Sandhya Sanduja (Gupta Lab) and Nicki Watson (W.M. Keck Microscopy Facility) at the Whitehead Institute for Biomedical Research
Whitehead Institute, MIT Department of Biology, Koch Institute at MIT
When cells are starved for nutrients, they start a ‘self-eating’ process called autophagy. As autophagy begins, a cell engulfs and degrades its own components in ‘double-membraned’ compartments or autophagosomes. This provides an internal supply of nutrients and helps cells to survive during starvation. I am studying how autophagy helps cancer cells survive during stress.
