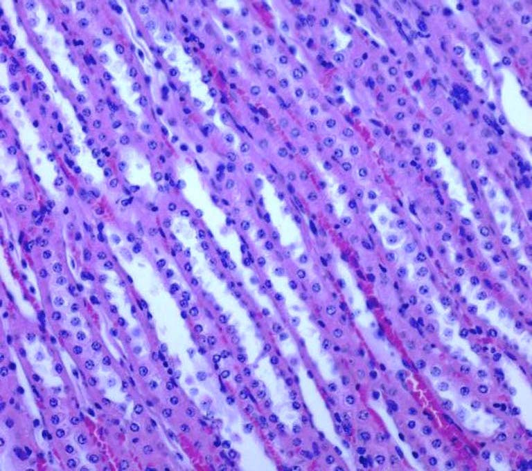
Histology around a Carbon Nanotube Implant 1
Histology around a Carbon Nanotube Implant 1
Submitted by Esha Atolia, Nicole M Iverson, Vsevolod Ivanov, and Edgardo Farias from the Laboratories of Gerald Wogan, Michael Strano, and John Essigmann at MIT
We are doing research to look at the possibility of implanting carbon nanotube hydrogels into animals. These carbon nanotubes can be used as sensors for cancer – hopefully allowing the detection of even a single cancerous cell without exposing the animal to any radiation.
This image is one of many histology slides that were read by a certified pathologist to ensure that our carbon nanotubes were not causing inflammation in the animals. Showing the biocompatibility of the carbon nanotubes was an important step in the in vivo use of these sensors.
