Mechanisms of Retinal Degeneration, Version #1
Mechanisms of Retinal Degeneration, Version #1
Submitted by Jennifer Calvo, Lisianne Meira, Catherine Moroski and Leona Samson of the Samson Laboratory in the Center for Environmental Health Sciences and the Department of Biological Engineering
MIT Department of Biological Engineering, Koch Institute at MIT
Jennifer Calvo, Lisianne Meira, Catherine Moroski, Leona Samson
Samson Laboratory, Center for Environmental Health Sciences and Department of Biological Engineering
Epi-Fluorescence Micrograph
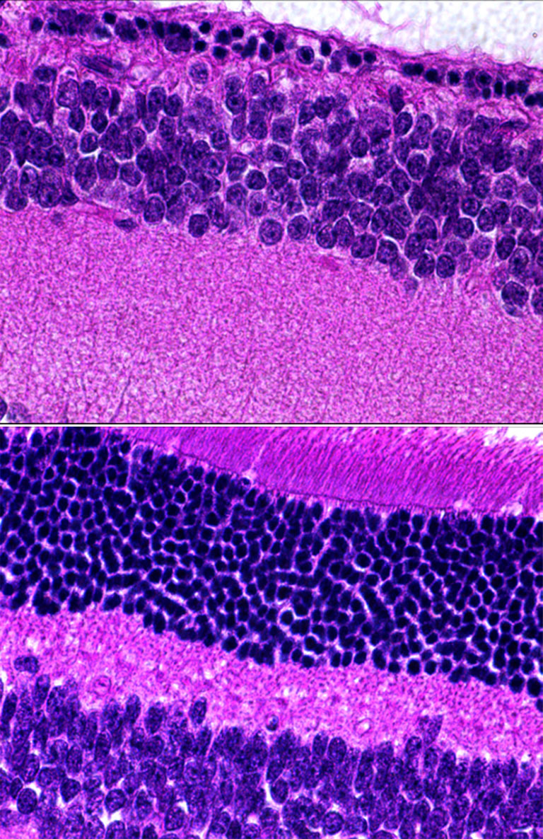
"Vision loss affects more than 3 million Americans and many more people worldwide. Although predisposing genes have been identified their link to known environmental factors is unclear. Shown here are hematoxylin- and eosin-stained images of a retina isolated seven days following treatment with the alkylating agent, MMS. This image clearly demonstrates severe retinal degeneration in the outer nuclear layer of the wild-type retina (top image), whereas a retina lacking alkyladenine DNA glycosylase (AAG) is phenotypically-normal (bottom image). The image demonstrates that AAG may contribute to alkylating agent-induced retinal degeneration."
