Intricacies of Breast Cancer Cells in the Brain 1
Intricacies of Breast Cancer Cells in the Brain 1
Christopher Ng, Keene Abbott, Gong-Her Wu, David Mankus, Giovanni de Nola, Jiayi Yin, Cathy Hou, Abigail Lytton-Jean
Koch Institute at MIT
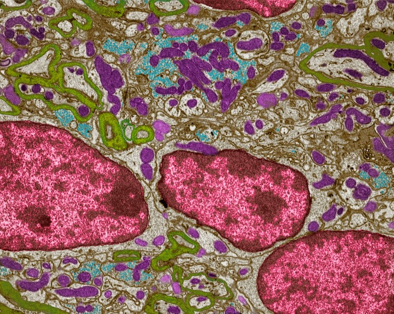
Electron microscopy unveils the intricate structural adaptation of cancer cells migrating to the brain, presenting a groundbreaking opportunity to tailor innovative treatments for cancer metastasis. This image reveals a crucial moment in cancer research. It captures a close-up view of human breast cancer cells, like the ones found in breast tumors, that have embarked on a journey within a living mouse's body. We captured this image in our pursuit to understand the intricacies of breast cancer cells that have migrated to the brain.
