Mitochondria in the Mouse Brain 3
Mitochondria in the Mouse Brain 3
Ania Puszynska, Margaret Bisher, David Mankus, David Sabatini, Abigail Lytton-Jean
Koch Institute at MIT, MIT Department of Biology, Whitehead Institute
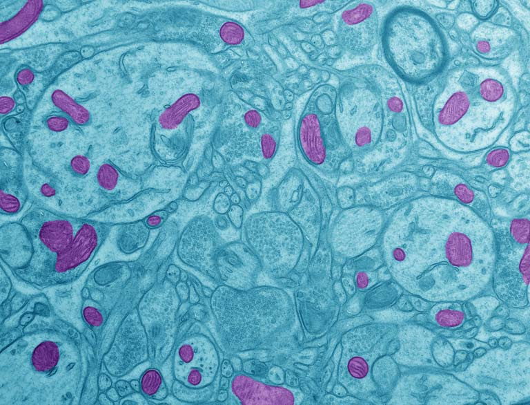
Mitochondrion is a cellular compartment that carries out crucial functions for cellular and organismal health. It produces energy powering the cell and is also an important signaling hub that controls many important cellular decisions. In this image we look into the ultrastructure of mitochondria in the brain of a young mouse. We are able to zoom into the tissue very closely and see multiple mitochondria within cells and cellular projections at high magnification allowing us to clearly observe the beautiful and unique aspects of mitochondrial organization.
This image is a part of an effort to establish a protocol to preserve and visualize intact mitochondria in fixed tissues of a mouse in order to perform experiments in which we will compare the ultrastructure, shape and size of mitochondria across different tissues in mice of different ages. This image is very exciting because it marks a successful completion of the challenging optimization phase of our study allowing us to move towards the experimental comparisons of mitochondria in young and old mice. The image represents mitochondria in their native state in the context of the brain tissue preserved in its intact, native state.
