Immunogenic Drugs Infiltrate Lung Tumors 1
Immunogenic Drugs Infiltrate Lung Tumors 1
Steffen Rickelt, Christina Pfirschke
MIT Department of Biology, Koch Institute at MIT, Massachusetts General Hospital
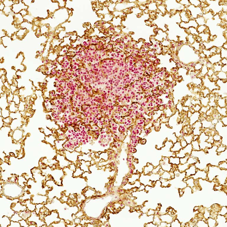
Recent clinical studies have demonstrated that it is possible to fight cancer not only by targeting cancer cells directly, but also by manipulating normal immune cells such as T cells that infiltrate tumors. Most notably, immunotherapies that use drugs called ‘immune checkpoint inhibitors’ can successfully activate patient’s own T cells to kill tumors.
The presented image shows a section through a tumor-bearing lung lobe of a mouse that received immunogenic drugs. In the center of the image, a lung cancer tumor nodule is shown, with tumor cells highlighted by nuclear staining (red), surrounded and permeated by a vasculature meshwork (brown).
