We Heart Cancer Research (But Not Cancer)
We Heart Cancer Research (But Not Cancer)
Submitted by Carman Li and Shi Yun (Alice) Wang of the Jacks Laboratory at the Koch Institute for Integrative Cancer Research
MIT Department of Biology, Koch Institute at MIT
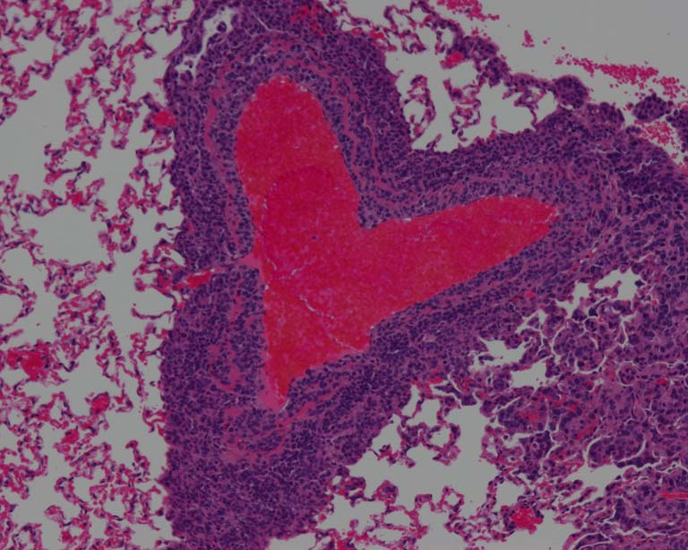
This image shows a metastatic tumor growing around a blood vessel in lung tissue. The red-stained cells are red blood cells, and the purple-stained nuclei surrounding them belong to tumor cells and some immune cells, which have infiltrated the tumor.
This slide is part of a series of histological slides that capture tumor cells that have metastasized to the lungs. This is part of an experiment to investigate the molecular changes that drive the process of metastasis. We initially noticed this particular tumor because of its interesting shape, and we think this slide serves as a great example to highlight the extravasation step of metastasis, which is when tumor cells traveling in the blood vessels from the primary tumor leave the circulation and begin to colonize the surrounding tissue.
