Nanotechnologies for Bone Tissue Repair, Image #3
Nanotechnologies for Bone Tissue Repair, Image #3
Submitted by Nisarg Shah of the Koch Institute
Koch Institute at MIT, MIT Department of Chemical Engineering
Nisarg Shah
Hammond Laboratory
Koch Institute
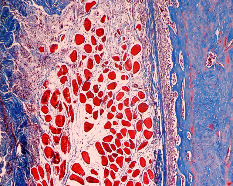
"The fundamental question that we are trying to answer is can we harness the body’s own cells to repair or regenerate human tissue, in cases where it may not be possible without treatment. In this work, we are tailoring nanotherapies that can be used to direct cells to for bone tissue. The images submitted here depict the living bone tissue environment at the microscopic level that is highly dynamic.
Materials that make up the bone, such as collagen (in blue) can be observed. Different cell types are observed including bone forming cells (osteoblasts – large single rounded structures embedded in the bone), bone marrow stem cells and hematopoietic stem cells in the bone marrow (which go on to form white blood cells) can be also be seen, which are smaller rounded structures clustered together. Also depicted in the image is the organized structural diversity of the bone, which can be spongy (web-like) or compact (plate-like)."
