Histological Response to a New Tissue Adhesive, Version 1
Histological Response to a New Tissue Adhesive, Version 1
Koch Institute at MIT, MIT Department of Chemical Engineering
Boaz Mizrahi
Langer Laboratory, Koch Institute
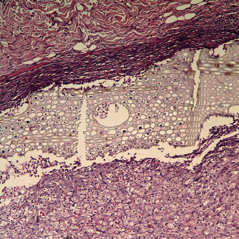
Light microscopy
"This image shows histological findings in rats injected with a new tissue-glue (often called tissue adhesive), shown in the center between the two opposite sides of the glued tissue. We wanted to learn tissue reaction to the new formula synthesized in our lab. For surgical adhesives to be attractive alternatives to sutures and staples they should allow rapid adhesion and maintain strong and close apposition of wound edges for a sufficient time. This glue elicited a 'mild' histological response, which was characterized by inflammation surrounding the implanted material."
