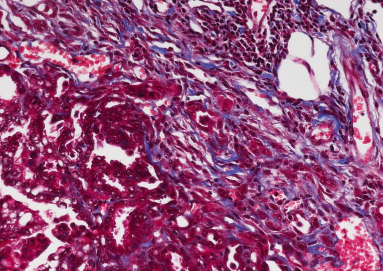
Lung Adenocarcinoma with Stromal Infiltration, Version #2
Lung Adenocarcinoma with Stromal Infiltration, Version #2
Submitted by Vasilena Gocheva of the Jacks Lab at the Koch Institute
MIT Department of Biology, Koch Institute at MIT
Vasilena Gocheva
Jacks Lab, Koch Institute
Light Micrograph
"This image shows a lung adenocarcinoma with a large stromal infiltration. I took the image to show that there is a large stromal infiltration present in lung tumors. Whether this stroma is actively contributing to tumorigenesis is a question I am addressing in my project.
Our understanding of the role of the tumor microenvironment in the development and progression of lung cancer, the most common type of cancer worldwide, remains rudimentary. The goal of my project is to determine whether the stroma contributes to tumor progression as insights into the complex, reciprocal interactions between tumor and stromal cells in their local surroundings may provide new opportunities for more focused therapeutic strategies."
