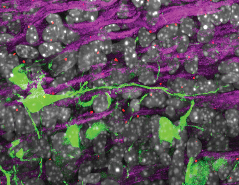
Neuronal Axon Formation, Version #3
Neuronal Axon Formation, Version #3
Submitted by Froylan Calderon de Anda of the Tsai Lab at the Picower Institute for Learning and Memory
Picower Institute for Learning and Memory, MIT Department of Brain and Cognitive Sciences
Froylan Calderon de Anda
Tsai Lab, Picower Institute for Learning and Memory
"I am interested in understanding how neurons acquire their morphology. Axon formation is the first step for neurons to establish a polarized morphology."
